Diane Lowrey Diane Lowrey

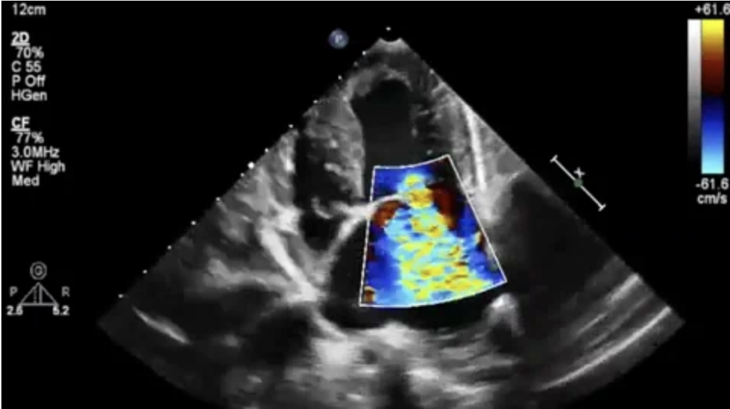
Echocardiography:

Using the art of imaging with ultrasound to view the structure and function of the heart in real time. Ultrasound imaging is incredibly informative, non-invasive, and safe diagnostic in both veterinary and human medical practice. This imaging technique uses high frequency sound waves emitted from a handheld transducer (probe) to produce an ultrasound beam. The beam is reflected off the tissues in the chest and heart back to the transducer to create an image of the heart in motion. Several types of echocardiography are used to show the structure of the heart walls, chambers, and valves (2- or 3-dimensional echocardiography), blood flow direction and velocity (Doppler echocardiography, including color, pulsed and continuous wave) and heart wall motion velocity (Tissue Doppler echocardiography).

Some pets with heart disease have symptoms, including cough, difficulty breathing, exercise intolerance, or fainting. Other pets may not have symptoms but may have a heart murmur or irregular rhythm. Routine screenings for breeds prone to heart disease or for pre-breeding purposes are also sometimes performed. If you have concerns that your pet may have heart disease, please discuss this with your veterinarian to determine if your pet should have an echocardiogram.

Echocardiography is considered the best test for diagnosis of heart disease because it gives a cardiologist an image of the inside of the heart to determine how well the heart muscle is pumping, how well the valves are working and whether any defects are present inside the heart. Although echocardiography is the best diagnostic to evaluate the heart’s structure and function, the cardiologist may also need to examine chest radiographs (to look for fluid in the lungs=congestive heart failure), an electrocardiogram (to evaluate the heart’s electrical rhythm), blood pressure and or bloodwork. All these diagnostics together give the cardiologist a fuller picture of your pet’s health. Your regular veterinarian and the cardiologist should work together to assess your pet’s health and devise the best plan possible for the best possible outcome.

Read More
Diane Lowrey Diane Lowrey

For the Love…

What wouldn’t I do for the love of my pet. That bond that I have with my pets that no one else can even compare to. Being able to say anything and knowing there will not be any backlash. They love me unconditionally. I can make all the mistakes and my pets are gonna love me anyway. They are always there to lend an ear and want to be pet to calm a moment. Those eyes that make you want to give them the world. So trusting and innocent. I would have to say that the bond I have with my pets is one of the most amazing blessings in my life. Animals can give us so much happiness.

Read More
Diane Lowrey Diane Lowrey

The full AUS

I wanted to tell you about a recent patient that made it very clear to me why when I was trained in small animal sonography, they said not to only image 1 organ and instead always do a full abdominal ultrasound. I have changed the names for the privacy of the clients. On September 15, 2023 Tawny presented to our clinic for urinary accidents in the house and a bump above her anus that has gotten a little bigger since first noticed a couple of months ago and maybe a little more red. Tawny is a 12 year old, spayed female, canine mixed breed that weighs 35.5 lbs. She and her owners are new to our clinic and Tawny hasn’t been to a vet in a few years. She is not on any medications currently and her current diet is Frontier salmon and sweet potato formula. Tawny does suffer from separation anxiety that has been getting worse as she is getting older. The plan on 9/15/23 was to r/o adenoma vs adenocarcinoma. Discussed Cushing’s disease since there is often underlying hormonal stimulation causing perianal adenomas. FNA of the perianal mass with cytology. Recommend LLDST and senior panel (esp. if the cytology came back as perianal adenoma). If cancerous, will discuss staging and prognosis upon receipt of results. Will discuss removal at that time as well.  The microscopic findings from cytology came back as perianal gland tumor (hepatoid tumor). Discussed with Owner that this is a benign mass and that it is caused by excess hormones. Discussed Cushing’s testing as the next step prior to scheduling the removal of the mass. On 9/26/23 Tawny returned for LDDST and Senior panel blood work. LDDST is consistent with Cushing’s syndrome. Additionally, we detect a UTI. The rest of her organ function tests are normal. This is when we had the discussion of pituitary gland dependent Cushing’s or adrenal gland tumor. AUS is recommended currently to look for an adrenal gland tumor. It is offered to the Owner to do a targeted scan, where only the adrenal glands are imaged, or a full AUS with a consult from a specialist. On 10/19/23 Tawny returned to us for an AUS. The findings from the Specialist that read the AUS were that Tawny’s hyperadrenocorticism is most consistent with bilateral adenomas (uncommon presentation, but possible) i.e. adrenal dependent hyperadrenocorticism. However, the patient’s bladder wall changes and abnormal medial iliac lymph node, are concerning for underlying malignancy with metastatic disease. During the AUS the owner was called to discuss an enlarged LN and FNA of the LN for cytology. We started Tawny on Clavamox for the UTI and sent out the FNA for cytology of the LN. Cytology interpretation: Carcinoma with necrosis, likely metastatic/effaced LN. Discussed with client a referral to oncologist vs us consulting with tele-oncologist to discuss chemotherapy options vs palliative care.

As you can see there was a lot more to a full AUS vs a targeted scan and we could potentially be making Tawny much more comfortable and extending her life.

Read More
Diane Lowrey Diane Lowrey

Mobile Sonography

Ultrasonography is the second most commonly used imaging format in veterinary practice. Although ultrasound can be used to evaluate most soft tissues, including muscles, tendons, and ligaments, the heart and abdominal organs still constitute the majority of examinations performed in small animals. In scanning of the abdomen, the abdominal structures should be systematically evaluated. Each sonographer develops his or her own system of completely evaluating the abdomen. Systematic evaluation ensures that all structures are scanned. In the past organs such as the pancreas and adrenal glands were only seen if diseased and enlarged, but modern ultrasound machines operated by an experienced and skilled sonographer produce images of such quality that the normal pancreas, adrenal glands, and lymph nodes are routinely imaged even in large dogs.

Changes in size and shape of organs, tissues, and structures are evident in most cases, but evaluation of the echo pattern is based on comparison with that of other organs and tissues the examiner has scanned in other animals. The person evaluating the scan must have a firm idea, developed from experience and comparison with known normalcy, of the normal echo pattern of each organ scanned with each transducer. Comparison of the echogenicity of several tissues must be made, because any organ may have increases or decreases in the echogenicity of its parenchyma.

Diseased organs may be either uniformly altered or exhibit focal or multifocal changes. Focal changes are usually easier to detect than uniform changes. Sonographic lesions are sometimes quite characteristic of a given disease process, but more often the changes are nonspecific. Although ultrasonography can be quite sensitive to detection of disease, the changes are not specific for a given disease in most cases unless a characteristic change in anatomic presentation is detected along with changes in echogenicity.

Ultrasound technology has improved the ability of sonographic examinations to detect disease previously not well characterized by sonographic evaluation. Pancreatitis is a primary example. For many years, the pancreas was not considered an organ that could be evaluated with ultrasound, but evaluating it with ultrasound has become mainstay of assessing animals with suspected pancreatic disease. However, it does not always agree with clinical pathologic evaluation or physical examination. In some cases the physical examination and clinical pathologic data will suggest pancreatitis, but it is not detected on sonographic examination. This is probably due to the great difficulty of interrogating the entire pancreas using ultrasound. In other cases, chronic pancreatitis may be indicated by sonographic examination but poorly characterized by clinical pathologic data because of the chronic status of the disease.

Ultrasonography can also be used to direct biopsy instruments to acquire tissue for specific pathologic diagnosis. This often times obviates the need for an open surgical exploration. Lesions buried within large organs such as the liver and kidneys that might not be detectable at surgery may be detected and biopsied with ultrasonographic guidance. Presurgical diagnosis permits more thorough and specific planning of surgical procedures and presurgical treatment of lesions. These procedures can be safely performed under heavy sedation and analgesia.

Read More

Rose colored glasses

It all begins with an idea.

I always get told I am wearing rose colored glasses. I don’t want to look at the world any other way. There is so much that I would rather not see. I don’t know how to fix all the wrongs in the world and I am not going to attempt to act like I do. I have to look at the positive in my world and make that the focus of my days.

I love our occupation because of all the kindness surrounding us. The doctors that we work with and our support staff are the most amazing group of people.

The other day I was at work and one of the doctors that I work with came into the clinic on her day off with a kitten in her arms. This little kitten had an abscess on his foot and the doctor was friends with the client so she brought the kitten in to drain the abscess and give antibiotics. Not many other professionals would give their time so willingly. I have so much admiration for the professionals in our field. All of us give so much to our profession and do it so willingly. For the innocent animals that have no voice. The love we receive from animals is so great! There is no happiness like that of the love of an animal.

Read More

What is the best day?

Can you believe?

This has to be the only occupation where you can get paid to sit on the floor and play with a puppy for 15 minutes. Usually this is the highlight of my day. When a puppy comes to the vet for the very first time, it’s amazing. The owners are so excited to show off their new addition to the family and how cute they are, little fluff balls of love and cuddles. We are not above bribery, we will give treats and affection to no end to earn a puppies love. OMG and the puppy kisses!! I can’t get enough. Puppy parents are so excited to learn about how to take care of their new little one and I love to educate on all the things to do.

Read More
Diane Lowrey Diane Lowrey

Ultrasound

Ultrasound applications in the field of veterinary medicine are becoming increasingly common as use of sonography is not limited to human patients anymore. Like us, our pets too need to undergo ultrasound tests when they are in pain or under distress, owing to an ailment. Unlike us, however, our four-legged friends are unable to communicate any specific pains to doctors and can only do so through their actions. Therefore, it becomes especially relevant to use ultrasound in veterinary practice so vets can better understand your pet’s health and pinpoint exactly what is bothering them with ease.

While in the past, methods such as CT scans and MRIs were used, these days ultrasound is the preferred imaging modality in most cases as it can give a better picture and is non-invasive, pain-free, less intense, radiation-free, and inexpensive. Moreover, as it provides an accurate and faster diagnosis resulting in early detection of disease, which speeds treatment decisions and administration, use of ultrasound has now become prevalent.

In fact, it’s safe to say that ultrasound applications in veterinary care have transformed health care for our furry friends. Therefore, their popularity continues to increase as more and more veterinarians take advantage of technology to offer prompt and improved healthcare to their feline, canine, and other animal patients. Just like in human medicine, ultrasound has both diagnostic and therapeutic applications in veterinary science too, albeit with very few and slender differences in the equipment and process.

·        Non-invasive – Ultrasound being non-invasive is especially relevant in veterinary science as animals are spared the distress and pain of invasive techniques like exploratory surgery.

·        Real-Time Imaging – Ultrasound allows real-time visualization of internal organs and tissues, enabling real-time monitoring of pets’ and fetuses’ health.

·        No side effects – Ultrasound doesn’t require medication or anesthesia, which makes it especially suitable for small animal veterinary medicine. Furthermore, unlike other imaging technologies, it doesn’t produce side effects. However, it should be noted that in some cases, it may be necessary to use mild sedation to help the pet lie still.

·        Speed and Affordability – Ultrasound provides accurate imaging much faster and is considerably more affordable, in comparison with other technologies.

·        Easy Access – Ultrasound is much more easily accessible too. In addition, developments in technology have led to faster, compact, and portable machines that provide high-quality imaging, further enhancing their ready access and ease of use, even in emergency settings. Moreover, ultrasound equipment can now even be brought to the pet-owner’s home, allowing easy examination of the pet in the comfort of their own surroundings.

·        Easily Combined with Other Imaging Modalities – Ultrasound enables physicians to examine an organ or specific area more closely. Therefore, it is sometimes combined with X-rays to provide a more complete diagnosis.

Here I have outlined some of the most common conditions that an ultrasound helps detect.

·        Ultrasound helps detect foreign objects that pets occasionally ingest. X-rays are unable to detect most of these objects, including substances like fabric, plastic, wood, and others. Ultrasound, with its quick detection of foreign matter, enables vets to determine the right course of action for quick removal, potentially saving the pet from discomfort and pain and in some cases, even a life-threatening situation.

·        A common symptom for ordering an ultrasound in veterinary practice is chronically elevated liver enzymes.

·        Other common cues for getting a vet ultrasound are suspected cases of urinary tract disease, gastrointestinal disease, endocrine disease, neoplasia, trauma, fever of unknown origin, and immune mediated diseases.

·        A couple other common ailments in dogs and cats in which ultrasound can serve as a diagnostic tool are nonspecific inflammatory bowel disease and pancreatitis.

·        Unlike other imaging technologies like X-rays, ultrasound helps distinguish fluid from soft-tissue masses and foreign bodies, resulting in diagnoses of more medical conditions.

·        While a radiograph can be used, it is unable to help evaluate the abdomen clearly for an accurate diagnosis. Ultrasound is suitable for determining with greater precision problems with the liver, gallbladder, kidneys, adrenal glands, spleen, urinary bladder, pancreas, lymph nodes, and blood vessels.

·        Ultrasound can be used to determine cases of pericardial effusion and hemoabdomen, which affect the heart and the abdomen. Its ability to diagnose these conditions quicker, in comparison to other imaging technologies, translates into prompt treatment to remove blood from the abdomen or around the heart, thereby saving the patient’s life.

·        An echocardiogram helps assess the cardiac function and diagnose many heart conditions. It can also help examine blood flow, assess the quality of blood flow through arteries, and function of the heart valves.

·        An ultrasound device can assist in small biopsies of organs or masses, surgical procedures, and in obtaining urine from the bladder, among others. It’s also helpful in detecting or ruling out problems such as bladder stones or a urinary tract infection.

·        Ultrasound helps detect several abnormalities like kidney disease, tumors, or a mass, including cancers, inflammation of gastrointestinal tract and many more.

·        Ultrasound also helps veterinarians to check whether an organ is enlarged.

·        Furthermore, ultrasound helps detect the number of fetuses along with determining the time of gestation. In addition, it can monitor the development of fetuses at each stage of the pregnancy. It can even monitor the development of puppies and kittens.

Read More

Feelings

So many emotions

I don’t think people realize how much a veterinarian cares. Thinking in regards to how hard it is to make that final decision for your pet, not knowing when the right time is. We have all been there, we know how truly hard it is, we all have pets of our own that we have had to make that decision for. Helping someone else’s pet to pass over is something that we cherish. It is not something that we take lightly and it is something that we rarely want to do. Some of these pets we have cared for since they were puppies or kittens, helped them through illness and given their yearly exams and vaccines for years. Helping owners to do everything in their means to make sure that they have done everything they can for their pet before making that final decision. Wishing and hoping for miracles, so they can help them for just a little longer. Trying so very hard to give the owners all the time they can with their pet. Feeling all of the anguish that owner is going through and only trying to make the journey as comfortable as possible. Most veterinarians and their staff go through this process as many times in a week as some people do in their entire lives. Feeling all the emotions over and over again with each pet.

Read More

What a wonderful occupation!

What a wonderful field of occupation

I was driving in my car this morning and thinking on my way to work. The field that I work in is so amazing. Not very many people are as lucky as we are to be able to work with such a wonderful group of people with like minds. Obviously we all love animals, that is a given. Most of us, not all, but most are introverts, quiet and unassuming. We tend to feel things deeply. Empathy is innate, not something that has to be learned. We tend to cry at sad movies and sometimes when we hear about a horrific incident on the news or on social media. We always want to help if we can, never passing someone in need of help without asking if there is something we can do. So many wonderful people!!

Who knew going into this profession would afford the opportunity to meet so many amazing people. I think going into this I was in love with the idea of being able to be around animals and help where I can. They even warn you at orientation that if you are going into this field with the idea that you won’t have to deal with people you’re in the wrong place! It should also be said in orientation that the people that you work for and with will be the most amazing people you will ever be blessed to know. The relationships built while in this field will be your most cherished. When I was a child I wanted to be a veterinarian, I was deterred at a young age, but as an adult came back to the field. I thought that I was too old and could not possibly afford to go to vet school when I came back to the field. I chose veterinary technology at that point. I love it, it has been the most rewarding and wonderful choice I have ever made in my life (aside from my children of course). I wouldn’t want to say that this is an easy occupation, because it is definitely not, it challenges me on a daily basis. However I cannot imagine my life with out it. I have truly been blessed!

Read More